髋部骨折是老年患者中常见的外伤性疾病,也被人们称之为“人生中的最后一摔”或“人生最后一次骨折”,让本该安享晚年的老人只能承受长期卧床的痛苦。近日,金湖县人民医院骨科联合心内科等多学科团队凭借精湛技术与专业护理,成功为一名合并心包积液的超高龄股骨颈骨折患者实施心包穿刺引流术及人工股骨头置换术,帮助患者摆脱病痛,重新站立。
挑战:百岁高龄 手术难度叠加
不久前,101岁的王奶奶因意外摔倒导致左侧股骨颈骨折,她每晚卧床后疼痛难忍,无法自主翻身,生活质量急剧下降。由于老人年事已高,心肺功能衰退且基础疾病多,手术风险极高,家属一直犹豫不决。


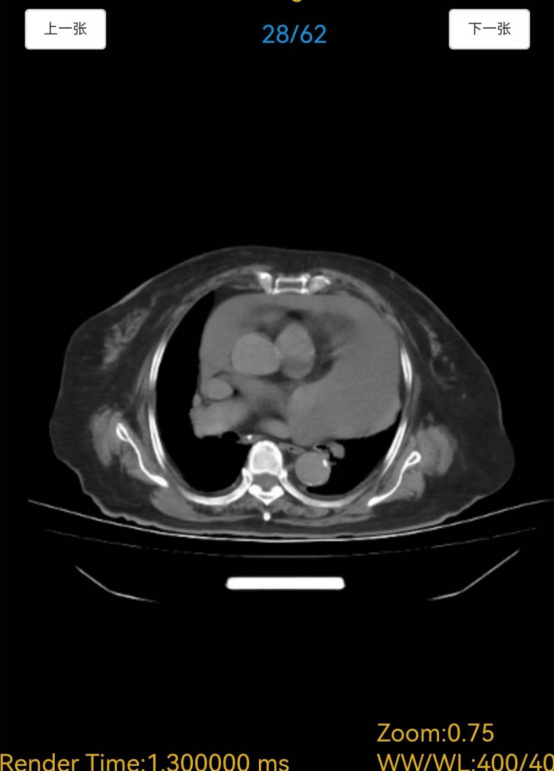
医院骨科徐信龙主任联合麻醉手术科、心内科、呼吸与危重症医学科、老年医学科等专家,开展多学科会诊(MDT),全面、细致地评估王奶奶的身体状况。评估结果不容乐观,一是老人生理机能退化,心肺储备能力差,B超提示心包积液,若不及时处理,可能导致心脏压塞,直接危及生命,而长期卧床又易引发肺部感染、深静脉血栓等严重并发症;二是老人基础病较多,长期服用多种药物,需调整用药方案以避免术中、术后风险;三是术后恢复难题,高龄患者伤口愈合慢,易出现感染、血栓、压疮等并发症。面对“先处理心脏问题还是先解决骨折”的两难局面,骨科、心内科、麻醉手术科等多学科专家共同评估后认为,需先通过心包穿刺引流术解除心脏压迫,待患者生命体征稳定后,再进行人工股骨头置换术。

突破:精准施策 为生命“保驾护航”
术前细致准备 筑牢安全防线
心内科团队率先行动,王琛主任在超声引导下为患者实施心包穿刺引流术,精准抽出积液,患者胸闷、气促症状明显缓解,心脏功能得到改善。骨科团队针对王奶奶的基础疾病,提前制定输血、抗血栓、感染预防等预案。护理团队指导老人进行呼吸功能锻炼和床上排便训练,做好心理辅导缓解其焦虑情绪。

术中微创精准 降低手术创伤
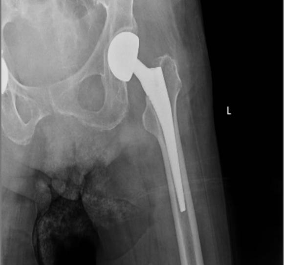
麻醉手术科团队采用“无插管静脉麻醉+腰硬麻醉”联合方式,精准控制麻醉深度,实时监测生命体征。骨科团队凭借丰富经验和精准操作,不到1小时便顺利完成人工股骨头置换术,术中出血少、创伤小。

恢复:精心护理 助其“步步”康复
三分治疗,七分护理。相较于手术台上的“惊心动魄”,术后管理更是一场持久战。为此骨科医护团队为王奶奶量身定制了康复三步走计划:①早期干预:术后6小时,护士便指导老人进行踝泵运动,预防下肢血栓;24小时后,在护士及家属协助下开始床上关节活动训练。②细节呵护:为预防压力性损伤,护理人员每2小时为老人翻身,使用防压疮床垫;根据老人口味指导调整饮食结构,保证营养摄入以促进伤口愈合。向家属及老人反复宣教预防术后髋脱位相关知识。③循序渐进:从助行器辅助站立,到短距离行走,医护人员每天耐心指导,全程守护,见证老人每一天的进步。

新生:步履从容 笑迎晚年生活
术后第2天,王奶奶已经能够在助行器的帮助下缓慢行走,脸上露出了久违的笑容。“以前疼得睡不着,现在能站起来走路,真是太感谢你们了!”老人拉着医生的手,激动地说道。家属也对治疗效果连连赞叹:“一开始我们特别担心,老人入院后,从手术到护理都做得特别好,现在老人能自己吃饭、简单活动,我们也放心多了。”此次对超高龄骨折患者的成功救治,不仅体现了我院多学科协作的高效与精准,更彰显了在高龄、高危患者诊疗领域的技术实力,为类似复杂病例的救治提供了宝贵经验。对于高龄患者而言,每一次手术都是一场与风险的较量,金湖县人民医院医护团队将始终秉持“生命至上”的信念,用精湛的技术、细致的护理,为老年患者的健康保驾护航,让他们在晚年依然能拥有高质量、有尊严的幸福生活。

骨科简介
现有专业技术人员20余人,科室开设创伤骨科、关节外科、脊柱外科、运动医学科、手足显微外科等亚专科,是我院骨关节康复示范病区,同时入选首批江苏省老年髋部骨折专病联盟成员单位,近年来发表核心期刊论文10余篇,获得淮安市新技术引进奖2项。目前拥有美国施乐辉关节镜系统、STORZ成像系统、美国GE的C臂机、碳纤维可透视骨科专用手术床等先进的诊疗设备。骨科手术诊疗项目:人工髋膝关节置换术、膝关节镜、肩关节镜相关手术、脊柱内镜下腰椎间盘摘除术、脊柱内镜下腰椎融合内固定术、四肢骨折切开/闭合复位内固定术、骨盆髋臼骨折切开复位内固定术、脊柱骨折切开复位内固定术、颈椎病/腰椎病手术治疗、骨质疏松性胸腰椎骨折椎体成形术、胸腰椎骨折经皮椎弓根钉内固定术、断肢再植术、断指(趾)再植术、游离组织再植术及移植等。
